今古子 声名远扬 正式会员 注册 2008/10/02 帖子 1838 获得点赞 66 声望 48 2012/12/01 #21 附件 1307090493dhInQq7f.jpg 81.3 KB 查看: 163 01300000167299122028629767987.jpg 21.8 KB 查看: 161 01300000167299122028693886361.jpg 33.7 KB 查看: 143
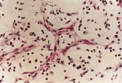
今古子 声名远扬 正式会员 注册 2008/10/02 帖子 1838 获得点赞 66 声望 48 2012/12/01 #22 毛细血管内外物质交换是通过扩散、吞饮及滤过-重吸收三种方式,其交换的速率取决于毛细血管壁的通透性。 毛细血管壁由单层内皮细胞组成, 外面有一层基膜,总厚度约0.15~0.50mm,内皮细胞之间相互连接处存在有细微裂隙,间距约10~20nm,为粘多糖类物质所填充,在其中有直径为4nm左右的小孔,这是物质转运的途径之一。该小孔除了蛋白质难以通过外,血浆中和组织液中的水、各种晶体物质、小分子有机物均可以以扩散形式或滤过-重吸收的形式自由通过。内皮细胞膜的脂质双分子层是O2、CO2及脂溶性物质扩散的直接径路。此外,大分子物质的转运还可通过毛细血管内皮细胞的吞饮作用实现。
毛细血管内外物质交换是通过扩散、吞饮及滤过-重吸收三种方式,其交换的速率取决于毛细血管壁的通透性。 毛细血管壁由单层内皮细胞组成, 外面有一层基膜,总厚度约0.15~0.50mm,内皮细胞之间相互连接处存在有细微裂隙,间距约10~20nm,为粘多糖类物质所填充,在其中有直径为4nm左右的小孔,这是物质转运的途径之一。该小孔除了蛋白质难以通过外,血浆中和组织液中的水、各种晶体物质、小分子有机物均可以以扩散形式或滤过-重吸收的形式自由通过。内皮细胞膜的脂质双分子层是O2、CO2及脂溶性物质扩散的直接径路。此外,大分子物质的转运还可通过毛细血管内皮细胞的吞饮作用实现。
文子医生 声名远扬 正式会员 注册 2012/04/08 帖子 6475 获得点赞 136 声望 63 2012/12/01 #24 文子医生 说: 1,首先,经脉不是血脉.理由1:素问水热论"夏者火始治,心气始长,脉瘦气弱,阳气留溢,热熏分凑,内至于经,故取盛经 点击展开... 都是脉又怎么样?并不都是穴,经脉上经穴很少扎出血.
文子医生 声名远扬 正式会员 注册 2012/04/08 帖子 6475 获得点赞 136 声望 63 2012/12/01 #25 今古子 说: 毛细血管内外物质交换是通过扩散、吞饮及滤过-重吸收三种方式,其交换的速率取决于毛细血管壁的通透性。 毛 点击展开... 别拿西医生理的解释来忽悠,经脉就象天上的航线,如果没有经气通过是看不见的.不是用这些可以探测到的生理实物能解释的.
今古子 说: 毛细血管内外物质交换是通过扩散、吞饮及滤过-重吸收三种方式,其交换的速率取决于毛细血管壁的通透性。 毛 点击展开... 别拿西医生理的解释来忽悠,经脉就象天上的航线,如果没有经气通过是看不见的.不是用这些可以探测到的生理实物能解释的.
放心一百 声名远扬 正式会员 注册 2012/04/20 帖子 1051 获得点赞 9 声望 0 年龄 69 2012/12/01 #26 不堪入目呀!還在敲鑼打谷?啊呀?越現越可憐得斯文掃地!怎麼會有這等誤人子弟的失敗者!脈絡都搞不清楚?還拿西醫來丟人現眼?夠慘啦啦!回去放牛吧!脈變血管?還學啥呢?那胃脈?是胃裡的血管嗎?真是一窩蜂(瘋)!可見科學是下流的惑色呀!那些自以為鳥不起的西醫?不懂就是這種學不如的錯亂精神失常表現!還津津有味呢?哈哈哈精神錯亂學中醫!真是醫大奇觀!繼續吧!看西醫精神錯亂能不殺人也是中醫的一大功德
不堪入目呀!還在敲鑼打谷?啊呀?越現越可憐得斯文掃地!怎麼會有這等誤人子弟的失敗者!脈絡都搞不清楚?還拿西醫來丟人現眼?夠慘啦啦!回去放牛吧!脈變血管?還學啥呢?那胃脈?是胃裡的血管嗎?真是一窩蜂(瘋)!可見科學是下流的惑色呀!那些自以為鳥不起的西醫?不懂就是這種學不如的錯亂精神失常表現!還津津有味呢?哈哈哈精神錯亂學中醫!真是醫大奇觀!繼續吧!看西醫精神錯亂能不殺人也是中醫的一大功德
文子医生 声名远扬 正式会员 注册 2012/04/08 帖子 6475 获得点赞 136 声望 63 2012/12/01 #28 牙混混 说: 这才是中西医结合 点击展开... 这样的结合中医是没有出路的.就象数学和模糊数学,中医是模糊数学,不是数学能解释的.
牙混混 闻名全坛 正式会员 注册 2010/11/10 帖子 12605 获得点赞 238 声望 48 2012/12/01 #30 文子医生 说: 这样的结合中医是没有出路的.就象数学和模糊数学,中医是模糊数学,不是数学能解释的. 点击展开... 纯中医的出路在哪里? 我咋看不见呢~~
今古子 声名远扬 正式会员 注册 2008/10/02 帖子 1838 获得点赞 66 声望 48 2012/12/01 #31 善言理者,必验于实。 一切可以用实验证实的理论,才是好理论。 ——这是内经不变的医道。而不是想当然空对空的臆测和妄想。
孙洪彪 闻名全坛 核心会员 注册 2009/04/10 帖子 11227 获得点赞 96 声望 38 年龄 55 2012/12/01 #32 文子医生 说: 别拿西医生理的解释来忽悠,经脉就象天上的航线,如果没有经气通过是看不见的.不是用这些可以探测到的生理实 点击展开... 气的运行,应该是有物质基础做依托的 况且气本身也具有物质属性,但未必是某一单一物质 只是,,,现在还搞不清楚罢了 至少,我们得承认微观的这些也是真实存在的,存在的就有他的道理.. 呵呵,好像越说越乱了哈 多多探讨,一定有意义.
文子医生 说: 别拿西医生理的解释来忽悠,经脉就象天上的航线,如果没有经气通过是看不见的.不是用这些可以探测到的生理实 点击展开... 气的运行,应该是有物质基础做依托的 况且气本身也具有物质属性,但未必是某一单一物质 只是,,,现在还搞不清楚罢了 至少,我们得承认微观的这些也是真实存在的,存在的就有他的道理.. 呵呵,好像越说越乱了哈 多多探讨,一定有意义.
孙洪彪 闻名全坛 核心会员 注册 2009/04/10 帖子 11227 获得点赞 96 声望 38 年龄 55 2012/12/01 #33 文子医生 说: 都是脉又怎么样?并不都是穴,经脉上经穴很少扎出血. 点击展开... 所以 说中医的脉都是血管不对
孙洪彪 闻名全坛 核心会员 注册 2009/04/10 帖子 11227 获得点赞 96 声望 38 年龄 55 2012/12/01 #34 今古子 说: 毛细血管内外物质交换是通过扩散、吞饮及滤过-重吸收三种方式,其交换的速率取决于毛细血管壁的通透性。 毛 点击展开... 假设,病变局部取穴的疗效,是调整了物质、能量交换的方式 那么远端取穴又如何解释呢?
今古子 说: 毛细血管内外物质交换是通过扩散、吞饮及滤过-重吸收三种方式,其交换的速率取决于毛细血管壁的通透性。 毛 点击展开... 假设,病变局部取穴的疗效,是调整了物质、能量交换的方式 那么远端取穴又如何解释呢?
文子医生 声名远扬 正式会员 注册 2012/04/08 帖子 6475 获得点赞 136 声望 63 2012/12/01 #35 今古子 说: 善言理者,必验于实。 一切可以用实验证实的理论,才是好理论。 ——这是内经不变的医道。而不是想当然空 点击展开... 不是实验验证,是临床验证的才是好理论.
文子医生 声名远扬 正式会员 注册 2012/04/08 帖子 6475 获得点赞 136 声望 63 2012/12/01 #36 牙混混 说: 纯中医的出路在哪里? 我咋看不见呢~~ 点击展开... 中医的出路在重回经典,正本清源.
文子医生 声名远扬 正式会员 注册 2012/04/08 帖子 6475 获得点赞 136 声望 63 2012/12/01 #37 孙洪彪 说: 假设,病变局部取穴的疗效,是调整了物质、能量交换的方式 那么远端取穴又如何解释呢? 点击展开... 这就是西医解释不了的.
牙混混 闻名全坛 正式会员 注册 2010/11/10 帖子 12605 获得点赞 238 声望 48 2012/12/01 #38 文子医生 说: 中医的出路在重回经典,正本清源. 点击展开... 再过一百年,中医恐怕也就剩下几个研究所啦~! 正本清源? 清朝以前,中医一统天下,啥天花,肺结核,肝炎,束手无策,人们平均寿命30多岁~ 难道我们还回到那会对肺结核都束手无策的境地去吗
文子医生 说: 中医的出路在重回经典,正本清源. 点击展开... 再过一百年,中医恐怕也就剩下几个研究所啦~! 正本清源? 清朝以前,中医一统天下,啥天花,肺结核,肝炎,束手无策,人们平均寿命30多岁~ 难道我们还回到那会对肺结核都束手无策的境地去吗
文子医生 声名远扬 正式会员 注册 2012/04/08 帖子 6475 获得点赞 136 声望 63 2012/12/01 #39 牙混混 说: 再过一百年,中医恐怕也就剩下几个研究所啦~! 正本清源? 点击展开... 现代医学的发展已经很厉害,你用不着担心国人会废西医而独中医。西医的事让西医去做,做中医的要生存,不是跟在人家后面,说这些人家都不信的话。你以为你在中西i结合,西医承认你吗?只有不懂西医的中医和你们不做医爱好者以为是而已。现在国外中医越来越火,不是中西结合的结果;而国内中医的衰落,难道不是中西结合的结果吗?中医研究院一天到晚拿着神经检测去找经络。中医学生大部分时间都在学西医,伤寒内经被束之高阁,可是出了校门又不能用所学西医知识,完全是西医的知识武装的半拉子中医。你说做中医的看见炎症就想着青霉素,西医用青霉素出了事人家算在百分比里,你个中医出了事就是你做了你不该做的事。你用分子水平来解释中医。西医信吗?而且不能验证真假。骗自己而已。
牙混混 说: 再过一百年,中医恐怕也就剩下几个研究所啦~! 正本清源? 点击展开... 现代医学的发展已经很厉害,你用不着担心国人会废西医而独中医。西医的事让西医去做,做中医的要生存,不是跟在人家后面,说这些人家都不信的话。你以为你在中西i结合,西医承认你吗?只有不懂西医的中医和你们不做医爱好者以为是而已。现在国外中医越来越火,不是中西结合的结果;而国内中医的衰落,难道不是中西结合的结果吗?中医研究院一天到晚拿着神经检测去找经络。中医学生大部分时间都在学西医,伤寒内经被束之高阁,可是出了校门又不能用所学西医知识,完全是西医的知识武装的半拉子中医。你说做中医的看见炎症就想着青霉素,西医用青霉素出了事人家算在百分比里,你个中医出了事就是你做了你不该做的事。你用分子水平来解释中医。西医信吗?而且不能验证真假。骗自己而已。
今古子 声名远扬 正式会员 注册 2008/10/02 帖子 1838 获得点赞 66 声望 48 2012/12/02 #40 面对同一真实的人体,技术的发展,认识的精细,并不是中西医的分界。 中医是医,不是古代的不可知的传说。 现实、真实、可见、能验,才是中医得存于世的根本理由。 现在中医的比例相对于人口的增长,是萎缩了。为什么?就是一套不实的理论想象远离了临床的真实,致使从业者技术不精,自然是失去了病人,这是必然的结果。不是哪个医生个人水平的如何,而正是理论上虚幻的必然!
面对同一真实的人体,技术的发展,认识的精细,并不是中西医的分界。 中医是医,不是古代的不可知的传说。 现实、真实、可见、能验,才是中医得存于世的根本理由。 现在中医的比例相对于人口的增长,是萎缩了。为什么?就是一套不实的理论想象远离了临床的真实,致使从业者技术不精,自然是失去了病人,这是必然的结果。不是哪个医生个人水平的如何,而正是理论上虚幻的必然!